記者張文熹/彰化報導
一名70歲男性,數月來反覆出現低血糖症狀,甚至多次昏迷送醫,原以為是常見的代謝或糖尿病問題,經員榮醫療體系醫療團隊深入檢查後,竟發現右肺藏有巨大腫瘤,最終確診為罕見的腫瘤相關低血糖案例。
該名患者過去曾罹患舌癌並接受手術,且有長達40年以上飲酒習慣。自去年9月起,陸續出現心悸、冒冷汗、步態不穩等低血糖典型症狀,甚至曾多次在家中昏倒,被送醫時血糖僅30 mg/dL。患者也多次測得血糖低於50 mg/dL,遠低於一般正常值約100 mg/dL,反覆發作令他相當困惑。

患者先到員榮醫院新陳代謝科塗宜育醫師門診就診,塗醫師發現其空腹血糖偏低(約50 mg/dL),但糖化血色素正常(5.4%),初步排除糖尿病或藥物因素,懷疑為非典型低血糖,安排住院進一步檢查,包括72小時禁食測試及完整影像學評估,以釐清病因。
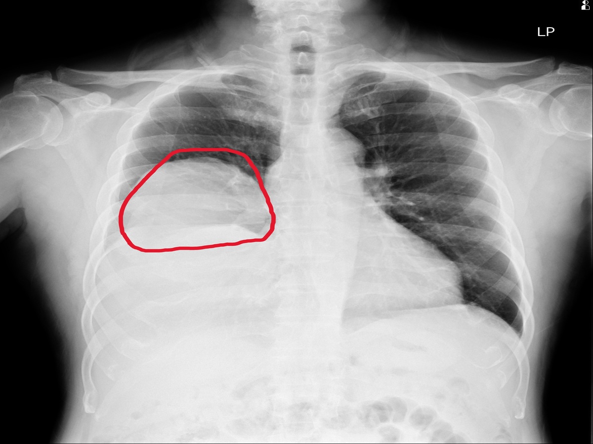
住院期間,患者仍頻繁出現低血糖發作,甚至血糖多次低於30 mg/dL,需持續補充高濃度葡萄糖維持穩定。進一步透過胸部X光與電腦斷層檢查,發現右肺有一顆巨大腫瘤,影像顯示約15×11公分,且壓迫周邊結構,並伴隨肋膜積液與淋巴結腫大情形。

因此會診胸腔內科醫師涂川洲副院長,醫療團隊評估後高度懷疑為「腫瘤相關低血糖」,可能與腫瘤分泌類胰島素生長因子(IGF-2)有關,屬於罕見的「非胰島素瘤性低血糖症(NICTH)」。此類情況多見於大型腫瘤,尤其是間質性或纖維性腫瘤。
跨科會診後,轉由在員榮駐診的胸腔外科醫師、秀傳醫院李佳穎副院長手術。因腫瘤超過20公分,且侵犯肺葉及心包膜,因此特用胸腔鏡輔助迷你開胸手術(VATS-assisted minithoracotomy )以完整切除。

術後病理報告確認為罕見的「肺部單發性纖維瘤」,此類腫瘤並不常見,且約有5%的患者會合併低血糖症狀,屬於典型的腫瘤伴隨症候群表現。
副院長涂川洲指出,低血糖常見原因包括糖尿病用藥、肝腎功能異常或內分泌疾病,但若為反覆發作且原因不明,應提高警覺是否為腫瘤所致,特別是IGF-2分泌相關腫瘤,雖然罕見,但可能危及生命。
臨床上,這類患者常因冒冷汗、心悸、意識不清等症狀反覆就醫,若未進一步檢查,容易延誤診斷。醫師提醒,沒有糖尿病史卻出現不明原因低血糖,甚至昏迷者,應及早接受完整評估,包括影像學檢查,以排除潛在腫瘤。此外,高齡、長期飲酒及既往癌症病史,也可能增加複雜病因的風險,更需謹慎追蹤。
本案例顯示,低血糖不僅是代謝問題,更可能是重大疾病的警訊。透過跨專科整合與精準診斷,才能及時找出病因並給予適切治療,避免延誤病情,提升病患存活機會。





-218x150.jpg)





























-324x160.jpg)