記者張文熹/彰化報導
家住雲林的七旬老翁,八年前曾在國民健康署提供的大腸癌篩檢中出現糞便潛血反應,隨後接受大腸鏡檢查,當時雖發現息肉,但因檢查過程不適而中途放棄,留下陰影,並未及時處理。未料八年後,老翁出現腹脹、排便困難卻又頻頻有便意的狀況,一天幾乎有一半時間都待在馬桶上。他苦笑說:「還好家裡是坐式馬桶,不然我一定會倒下去。」
家人憂心之下陪同他至雲林基督教醫院就醫,這次醫師安排舒眠大腸鏡檢查,老翁「睡一覺醒來就做完了」,未再感到不適。然而檢查結果顯示大腸有異常病灶,經評估需手術治療。為讓父親手術過程減少疼痛、恢復更快,女兒選擇轉至彰基醫學中心接受治療,由大腸直腸外科張譽耀主任操刀,採用單孔達文西機械手臂SP系統手術。

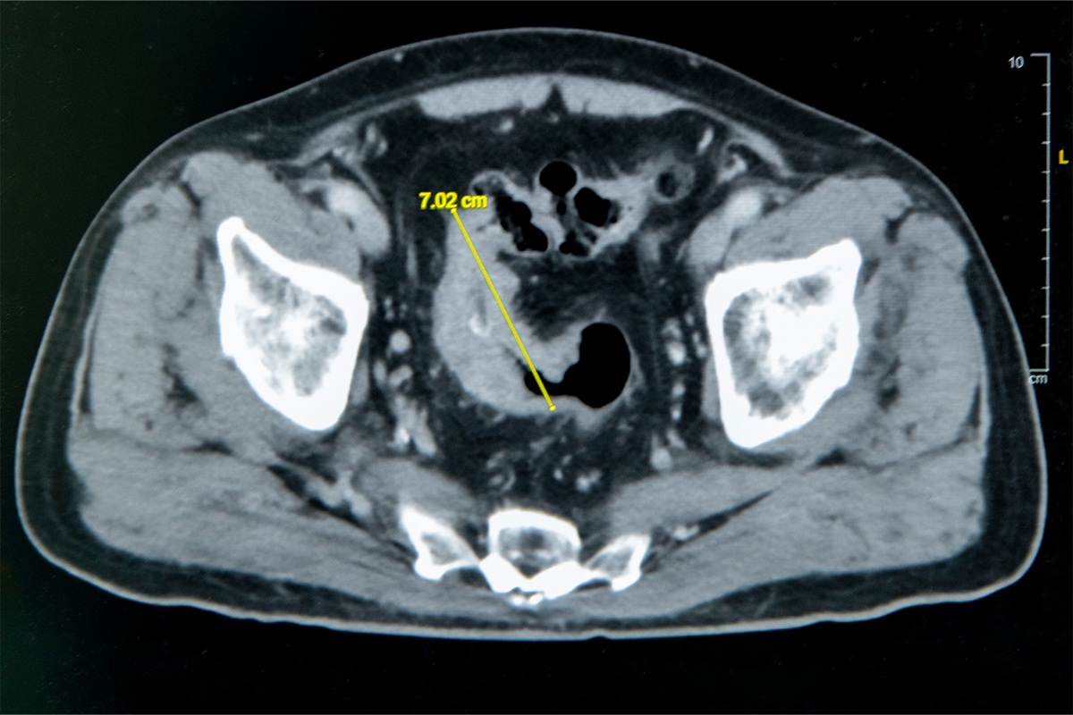
大腸直腸外科主任張譽耀醫師表示,老翁罹患乙狀結腸癌,腫瘤約7公分造成腸子幾乎完全阻塞,也導致老翁一進食就會肚子又脹又痛;術前因為不敢進食,老翁體重下降、營養不足,也可能造成傷口癒合不良。老翁的手術其實會有兩個傷口,一個是肚子上的傷口、一個腸子的傷口,若腸子傷口癒合不良會造成腸吻合滲漏,到時就必須做人工肛門了!所幸經過提早住院,透過靜脈營養針先建立營養,讓病人強健身體後才手術,術後傷口果然順利癒合。
彰基目前使用單孔達文西SP系統,是全台少數擁有此設備的醫院之一。系統啟用首日,彰基總院長陳穆寬教授親自完成兩例頭頸癌的達文西切除癌症手術,都是完全無疤痕手術,不但兼顧外觀與功能,也讓病人術後出血少、住院時間短。這套設備在狹小空間中操作特別有優勢,而因為是從自然孔進行手術,病人術後的臉部外觀完全看不到開刀痕跡。

目前彰基同時配置達文西多孔系統與SP單孔系統,可依不同疾病特性選擇最合適的機器人手術方式。張譽耀主任說明,達文西手術具備高解析3D視野與靈活精密的機械手臂,可減少傷口與疼痛。多孔系統操作範圍廣,但腹壁仍需數個小切口;SP單孔系統則將傷口減少到只需一個,更適合年長或希望減少不適的患者。目前全台僅有不到十台SP系統,彰基同時具備兩套設備,能針對不同手術需求互補運用,為病人量身打造更精準、個人化的微創治療。
張譽耀主任提醒,大腸癌長期位居國人十大癌症發生率前幾名,但透過國健署提供的糞便潛血篩檢,可早期發現、早期治療,避免疾病惡化。彰基醫學中心每年收治相當多經外院檢出的大腸癌患者,約有三成個案是在院外篩檢後轉介來本院治療,其中以南投地區民眾居多,顯示跨區民眾對彰基手術品質與技術的信任。未來,醫院也將持續強化篩檢宣導與精準手術發展,期盼守護更多中部地區民眾的健康。











晚間7時30分起,在旭光西路熱鬧登場林世賢-218x150.jpg)





與謝明妤醫師(右三)致贈賀禮,祝福來自巴布亞紐幾內-218x150.jpg)
、胸腔內科主任林聖皓、胸腔檢查治療中心主任詹博-218x150.jpg)




、郭天信(後左三)合影,展現地主_0-218x150.jpg)












